
치아레진을 통한 치아 건강 개선과 아름다운 미소 만드는 법을 알아봅니다. 다양한 치아레진 종류와 비용, 치료 방법에 대해 상세히 설명합니다.
치아레진 기본 이해
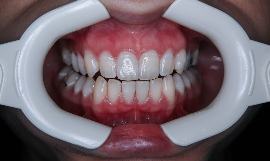
치아레진은 최근 많은 사람들이 선택하고 있는 치아 치료 방법입니다. 레진이라는 재료를 사용해 손상된 치아를 보강하거나 미용적으로 개선하는 효과가 있습니다. 치아레진은 자연 치아와 비슷한 색상으로 제작되어, 심미성을 중요시하는 분들에게 큰 장점입니다. 특히, 치아가 벌어지거나 틈이 생겼을 때 효과적으로 교정할 수 있습니다. 이 방법은 치아 건강을 유지하면서도 미소를 더 아름답게 만드는 데 도움을 줍니다. 치아레진을 이용한 치료를 경험한 분들은 보통 좋은 결과에 만족해합니다. 그렇다면, 치아레진은 어떤 경우에 필요할까요?

일반적으로 치아가 시린 느낌이 들거나, 통증이 있을 때 즉각적인 치료를 고려해야 합니다. 치아레진은 다양한 치아 문제를 해결할 수 있지만 각 상황에 맞는 적절한 및 치아 레진 종류 선택이 중요합니다. 예를 들어, 치아 틈새에 적용되는 치아 틈새 레진은 특히 작은 공간을 효과적으로 메워주며 미소의 질을 높이는 데 유용하죠. 이처럼 치아레진은 개별의 치아 상태에 따라 맞춤형 솔루션을 제공합니다. 또한, 치아레진 치료의 장점은 시술이 상대적으로 간단하며 빠르게 진행될 수 있다는 점이에요. 그래서 다음 단계로 넘어가기 전에 기본 이해를 확인하는 것이 중요합니다.
치아레진 비용과 의료보험
치아레진 치료를 고려할 때 가장 먼저 고민하게 되는 부분 중 하나가 바로 치아 레진 비용입니다. 비용은 병원이나 치과의 종류, 치료부위에 따라 달라질 수 있지만, 대체로 비교적 합리적인 편입니다. 평균적으로 치아 레진 치료는 몇 만 원부터 시작하여 커지면 수십 만 원에 이를 수 있습니다. 일부 치과에서는 제휴된 보험 상품을 통해 보험 청구도 가능합니다. 치아 레진 보험 청구가 가능한 경우, 치료비용 부담을 줄일 수 있는 점이 매력적입니다.
환자마다 다르지만 치아 레진 의료보험 적용 범위도 다양한 편입니다. 일반적으로 기본적인 검사와 치료비는 의료보험으로 지원받을 수 있지만, 미용 목적의 치아레진 치료는 지원이 어려운 경우가 많습니다. 이를 통해 환자는 더욱 신중하게 자신의 선택을 고민해야 하죠. 하지만 생각보다 좋지 않은 정보를 접하게 될 경우, 비용에 대한 이해를 높이는 것이 필요합니다. 과연 얼마나 더 정확한 정보를 얻을 수 있을까요?




치아레진의 재료와 종류
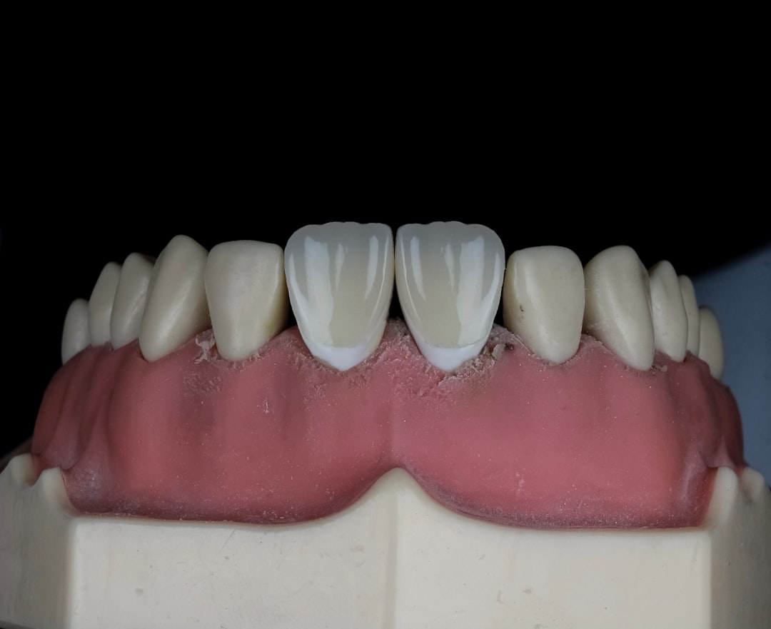
치아레진에는 여러 가지 치아 레진 재료가 사용됩니다. 대표적으로 컴포지트 레진이 있고, 이 재료는 특히 우수한 심미성과 탄력성을 제공합니다. 치아가 손상되었을 때, 상처 부위에 이 컴포지트 레진을 채워넣어 수정하게 되는데요, 이는 비슷한 색상으로 주위를 감싸 아는 분들 중에서는 정말 감쪽같이 고칠 수 있죠.



그 외에도 치아 레진 종류에는 다양한 선택이 있습니다. 예를 들어, 일부 치과에서는 치아파인잇몸레진을 적용하여 동시에 잇몸 건강도 고려하는 방법을 제공합니다. 벌어진 치아 레진 비용도 일반적인 치아 치료와 비슷하게 책정되기 때문에, 여러 옵션을 고민해보는 것은 좋은 방법입니다. 환자 본인의 상태에 따라 선택할 수 있는 여지가 있을 테니, 경험이 풍부한 치과의사와 상담하는 것이 필요합니다.
치아레진 치료 후 관리 및 통증
치아레진 치료 후에는 적절한 관리가 중요합니다. 치아 레진 후 통증은 개인차가 있으나, 일반적으로 강한 음식 섭취나 따뜻한 음료를 피하는 것이 좋습니다. 처음 몇 일 동안은 치아에 부담이 갈 수 있기 때문에 세심한 주의가 요구되지요. 강한 맛의 음식을 드시거나 경우에 따라 통증이 심해질 수도 있으니까요. 하지만 이 부분에서 걱정하실 필요는 없습니다. 대개 시간이 지나면 불편감은 사라집니다. 물론 지속적인 통증이 있다면 치과를 방문해야겠죠.
치아레진은 그 수명이 다 소모되거나 손상이 갈 때까지 적절한 관리가 필요합니다. 특별한 치료를 받은 후에는 병원을 주기적으로 방문하여 점검하는 것이 추천됩니다. 치아 레진 수명에 대한 질문도 많은데, 지속적인 관리 및 주의 의식이 있다면 5~7년 정도 사용할 수 있을 것입니다. 그 사이에는 정기적인 치아 점검도 잊지 마세요. 관리는 장기적인 투자입니다!



| 치아레진 종류 | 특징 | 평균 수명 | 비용 |
|---|---|---|---|
| 컴포지트 레진 | 심미성 최고 | 5-7년 | 약 5만원~15만원 |
| 비스코 젤 레진 | 쉬운 시술 | 3-5년 | 약 4만원~12만원 |
추천 글
코로나에 좋은 음식으로 면역력 높이기
코로나에 좋은 음식은 면역력 강화에 도움을 줍니다. 이 글에서는 신종 코로나에 좋은 음식들을 소개하고 이를 활용해 면역력을 높이는 방법을 알아봅니다.코로나에 좋은 음식 종류면역력을 높
k140.jhctown.com
결심공판, 절차와 유의사항 완벽 정리
결심공판 절차를 이해하는 것은 중요한 법적 과정입니다. 본 글에서는 결심공판의 정의, 종류, 유의사항, 그리고 실제 사례들에 대해 깊이 알아보겠습니다.결심공판이란 무엇인가결심공판은 법
k140.jhctown.com
북페어에서 만나볼 새로운 인기 도서 리스트
북페어는 독서의 즐거움을 찾을 수 있는 최적의 장소입니다. 다양한 주제와 장르의 도서를 발굴하고, 독자와 작가의 만남을 통해 새로운 문화를 체험하세요.북페어의 매력과 인기 도서 소개북
k140.jhctown.com
결론 및 FAQ
치아레진은 치아 건강과 미소 개선을 위한 효과적인 방법입니다. 다양한 종류와 비용, 치료 방법에 대한 이해는 좋은 선택을 위해 필수적이죠. 치아레진을 통해 세심한 관리로 건강한 미소를 만들어보세요. 이를 통해 더욱 자신감 넘치는 모습을 갖출 수 있으니, 어떤 선택을 하고 이 여정을 함께 하실 건가요?
자주 묻는 질문
Q1: 치아레진 치료 후 통증이 심하다면 어떻게 해야 하나요?
A: 지속적인 통증이 있을 경우, 바로 치과를 방문하여 전문가의 조언을 받는 것이 중요합니다.
Q2: 치아레진의 평균 수명은 얼마인가요?
A: 평균적으로 5~7년 정도 사용 가능하지만, 개인 관리에 따라 차이가 있습니다.
Q3: 치아레진 비용은 대략 어느 정도 인가요?
A: 보통 몇 만 원에서 시작하여 치료 부위에 따라 다르지만, 일반적으로 합리적인 편입니다.